IF1(A TPIF1)是一种核DNA编码的线粒体蛋白,其活性是通过抑制F1Fo-A TP合成酶来控制A TP的产生。在GLP-1活性的调节中,IF1的活性尚不清楚。在这项研究中,作者使用基因敲除(if1-ko)小鼠在饮食诱导的肥胖小鼠中检测了if1。

图片来源:https://doi.org/10.1016/j.apsb.2021.02.002
肥胖通过诱导胰岛素抵抗增加患2型糖尿病的风险。人们普遍认为胰岛素抵抗是能量过剩,特别是葡萄糖供应过剩的结果。然而,能量过剩导致胰岛素抵抗的分子机制仍然难以捉摸,尽管有几个假说在文献中得到了很好的证明。葡萄糖、脂肪酸和氨基酸是线粒体产生ATP的主要能量底物。该合成依赖于复合体V中的F1Fo-ATP合成酶(ATP酶),该酶利用线粒体势能磷酸化ADP合成ATP。线粒体膜电位维持过程中底物或缺氧的顺序条件。在呼吸缺乏的条件下,水解活性在保护细胞免受凋亡方面起着重要作用。ATP酶活性受F1Fo-A TP合成酶抑制蛋白1(A TPIF1,IF1)控制。在IF1失活条件下,AT-P的生产和水解过程中A-TPase活性增强。根据内分泌细胞的生理机制,ATP的增加可能促进胰腺b细胞的胰岛素分泌和肠道L细胞的GLP-1分泌。内分泌改变可能通过胰岛素和GLP-1影响糖代谢。然而,这种可能性还没有在体内用IF1-KO小鼠进行测试。为了解决这个问题,作者在这项研究中检测了If1-KO小鼠的葡萄糖代谢。
在调节细胞新陈代谢的癌症和炎症领域,已经对if1的活性进行了研究。然而,在肥胖症和2型糖尿病的病理生理学中,if1的活性仍有待确定。If1是一种核编码蛋白,在所有组织中广泛表达,在高能量需求的组织中水平较高,如心脏和骨骼肌。在线粒体中,IF1的活性受磷酸化和二聚化的调节。未磷酸化的IF1蛋白组成一个与F1Fo-A TPase结合的同源二聚体,以抑制酶的活性。丝氨酸39位的蛋白激酶A(PKA)催化磷酸化,导致四聚体的形成,从而使IF1与F1Fo-A TPase解离,结束抑制作用。预计运动可诱导心肌和骨骼肌中IF1磷酸化,从而增加A-TP的产生,以满足增加的能量需求。这种适应刺激了肌肉细胞中葡萄糖的摄取和分解代谢,从而增强了胰岛素敏感性。因此,IF1的失活可能导致外周组织胰岛素敏感性的改善。然而,这种可能性仍需在转基因模型中进行测试。

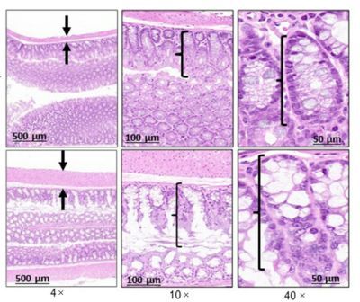
结肠组织切片进行HE染色
图片来源:https://doi.org/10.1016/j.apsb.2021.02.002
在这项研究中,IF1-KO小鼠被喂以高脂饮食(HFD),以检测IF1失活对糖代谢的影响。KO小鼠由于体重的额外增加而增加了更多的脂肪组织。胰岛素耐量受损的骨骼肌的胰岛素敏感性降低。然而,在相同条件下,KO小鼠的糖耐量有所改善。其机制是葡萄糖诱导的KO小鼠胰岛素和GLP-1分泌均增强。KO小鼠肠道细胞凋亡减少,有丝分裂增强,这是GLP-1分泌增加的原因。线粒体ANT2蛋白的减少是KO小鼠分泌GLP-1的原因之一。
来源:生物谷