
mRNA除了应用于传染病疫苗之外,作为一项平台技术,还有广阔的应用空间,mRNA技术领导者Moderna和BioNTech已经开始了mRNA癌症疫苗的相关研究。
近日,美国梅奥医学中心的研究人员在 Science Advances 期刊发表了题为:Efficient healing of large osseous segmental defects using optimized chemically modified messenger RNA encoding BMP-2 的研究论文。
该研究表明,使用化学修饰的mRNA编码的BMP-2蛋白,能够诱导骨再生,从而修复长骨节段性缺损。这为骨愈合提供了一种创新、安全且高度可转化的技术。
骨节段性缺损不能很好地愈合,并且仍是可能导致截肢的主要临床问题,再生医学为恢复并再生确实的骨骼提供了新的希望。
BMP-2是体内的一种天然蛋白质,可促进骨骼和软骨的发育。早在2002年,FDA就批准了美敦力公司的基于重组人类BMP-2蛋白的植入物,作为骨移植材料。但实际上该产品价格昂贵,而且功效和副作用并不理想。
梅奥团队认为,通过mRNA编码BMP-2蛋白,可能是促进骨骼再生的一种有潜力的方法。
人类骨骼通过两种方式再发育:从间充质祖细胞直接形成骨细胞,或通过软骨内骨化,软骨首先形成,然后转化为骨骼。重组BMP-2蛋白疗法利用前一种方式,而mRNA疗法则利用后一种方式。
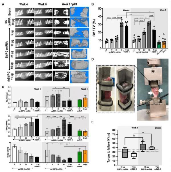
研究团队在大鼠骨缺损模型中进行实验,通过脂质载体递送编码BMP-2的化学修饰的mRNA(cmRNA),在股骨截断部位注射,mRNA能够在原位持续产生BMP-2蛋白,几乎没有逃逸到其他组织和器官。注射后第5天,蛋白质表达衰减至低水平。相比之下,临床等效剂量的重组人BMP-2蛋白在第一天达到高点后就开始逐渐减弱。
实验结果显示,50微克治疗组的大鼠在第4周时缺失的骨骼已全部桥接愈合,且再生的骨骼显示出与天然骨骼相当的机械性能,显着优于使用重组BMP-2蛋白的治疗组。
研究团队表示,之所以选择mRNA,而不是DNA,是因为mRNA可以通过非病毒载体进行递送,价格更便宜。而且mRNA不会整合到人类基因组中,只会在体内短期存在,因此更具安全性。
mRNA新冠疫苗的成功,鼓励了全世界的科学家们探索mRNA在其他领域的应用。就在今年1月6日,宾夕法尼亚大学佩雷尔曼医学院的研究人员在 Science 上发表论文。
研究团队开发了一种在体内生成的瞬时工程化 CAR-T 细胞疗法,通过注射脂质纳米颗粒(LNP)递送的 mRNA,重编程T细胞,使其识别心脏纤维化细胞,进而减少纤维化,恢复心力衰竭小鼠模型的心脏功能。
该方法类似于 mRNA 疫苗,仅需一次注射,就能在体内生成 CAR-T 细胞疗法,有望解决目前 CAR-T 疗法工艺复杂、周期长、价格高昂的难题。
来源:生物世界