《Nature》背靠背!发现小细胞肺癌“劫持”大脑通信机制:与神经元形成功能性突触,依赖神经元活动驱动原发与脑转移生长

发布日期:2026-02-03
来源:iNature
浏览次数:1198
神经活动正日益被证实是癌症生长的关键调节因素。在大脑中,神经元活动通过旁分泌机制以及通过神经元与恶性细胞之间的电化学整合将其作用延伸至神经回路,从而显著影响神经胶质瘤的生长。在中枢神经系统之外,诸如前列腺、头颈部、乳腺、胰腺和胃肠道等肿瘤的周围神经支配同样能够调节癌症的发展进程。

然而,神经系统在小细胞肺癌(SCLC)的生长过程中(无论是发生在肺部还是在大脑内生长)对癌症进展的调节程度尚不十分清楚。小细胞肺癌是一种致命的高级神经内分泌肿瘤,具有很强的向大脑转移的倾向。

2025年9月10日,哈佛医学院Humsa S. Venkatesh团队在Nature 在线发表题为Neuronal activity-dependent mechanisms of small cell lung cancer pathogenesis的研究论文,该研究证明,在肺部,迷走神经切断会显著抑制原发性肺肿瘤的形成和进展,这凸显了神经支配在小细胞肺癌生长中的关键作用。而在大脑中,小细胞肺癌细胞会利用神经活动调节机制来刺激生长和进展。综合这些发现表明,神经元活动在决定 SCLC 的发病机制中起着至关重要的作用。

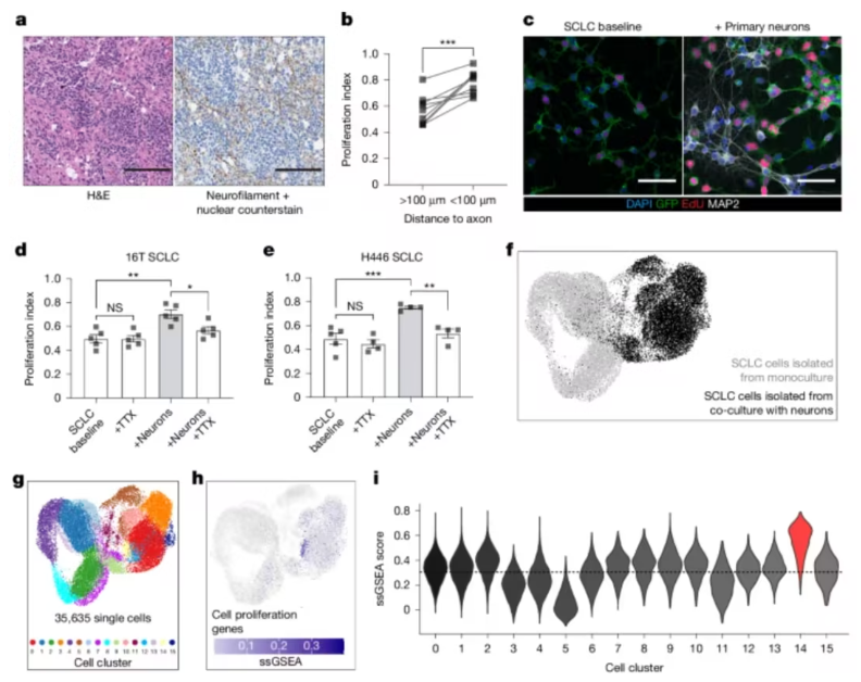
另外,2025年9月10日,德国科隆大学Filippo Beleggia团队在Nature在线发表题为Functional synapses between neurons and small cell lung cancer的研究论文,该研究确定了小鼠和人类小细胞肺癌中的神经元、突触和谷氨酸能信号通路基因集。

进一步实验揭示了小细胞肺癌细胞在体外和体内与神经元形成突触结构的能力。电生理学和光遗传学实验证实,癌细胞能够接收 NMDA 受体和 GABAA 受体介导的突触输入。鉴于神经元与小细胞肺癌细胞之间的相互作用可能具有潜在的致癌作用,该研究发现,当小细胞肺癌细胞与迷走神经感觉细胞或皮质神经元共同培养时,其增殖能力会得到显著提升。此外,在小细胞肺癌的自发性小鼠模型中,抑制谷氨酸信号传导具有治疗效果。

因此,在发生恶性转化后,小细胞肺癌细胞似乎会利用突触信号传导来促进肿瘤生长,从而为治疗干预开辟了一条新的途径。


神经系统正逐渐成为肿瘤微环境中的一个关键组成部分,它对癌症的病理过程起着调节作用。像胶质瘤这样的原发性脑癌表现出对这些神经机制的强烈依赖性,这种依赖性通过依赖于活动的旁分泌信号通路以及恶性胶质瘤细胞与电活动神经回路的直接功能整合而得以体现。

尽管关于神经元在脑转移中的作用知之甚少,但最近发现,转移至脑部的乳腺癌细胞会占据突触周围空间,以夺取谷氨酸用于自身生长。越来越多的证据还表明,神经系统在中枢神经系统以外的许多癌症的调控中也发挥着作用,包括前列腺癌、胃癌、结肠癌、头颈部癌、胰腺癌、乳腺癌和皮肤癌。这些研究支持了这样一个新兴原则,即神经系统能够深刻影响癌症的病理过程,并突显了还有大量癌症需要从这一角度进行研究。


神经元活动会促进脑内小细胞肺癌的生长(图源自Nature )

SCLC 是一种致命的高级神经内分泌肿瘤,约占所有肺癌病例的 15%,每年在全球范围内导致超过 20 万人死亡,且在确诊时就有 60%的几率发生转移,尤其容易转移到大脑。实验小鼠模型表明,SCLC 可以起源于肺部神经内分泌细胞,这是一种位于神经纤维附近、表达神经递质受体的肺上皮细胞类型。SCLC 细胞表现出与神经元相似的基因表达模式。这些神经元标志物的水平越高,患者的生存期就越短,病情转移的可能性也就越大。

最近的研究发现,肺部细胞内由神经递质介导的信号传递促进了 SCLC 的发展。此外,SCLC 中的神经元基因表达模式与促进脑微环境中星形胶质细胞的相互作用有关,从而推动了转移进程。然而,神经元活动是否在肺部或大脑中调节 SCLC 的生长目前尚不清楚。

研究人员提出假设:神经支配(尤其是由迷走神经进行的神经支配)可能会影响肺部疾病的进展,并且神经系统与小细胞肺癌之间的相互作用可能推动肿瘤的发展。在此,该研究检测了神经元及其活动在肺部原发性小细胞肺癌以及脑部小细胞肺癌进展过程中的作用。

该研究发现在肺部,迷走神经切断会显著抑制原发性肺肿瘤的形成和进展,这凸显了神经支配在小细胞肺癌生长中的关键作用。在大脑中,小细胞肺癌细胞会利用神经活动调节机制来刺激生长和进展。谷氨酸能和 GABA 能(产生γ-氨基丁酸)的皮质神经元活动各自通过旁分泌和突触神经元与癌细胞的相互作用来驱动脑内小细胞肺癌(SCLC)的增殖。

SCLC 细胞会形成真正的神经元与 SCLC 细胞之间的突触,并在神经元活动的刺激下表现出去极化电流,进而引发钙瞬变;这种 SCLC 细胞膜的去极化足以促进颅内肿瘤的生长。综合这些发现表明,神经元活动在决定 SCLC 的发病机制中起着至关重要的作用。

总结而言,这两项研究如同发现了小细胞肺癌的“致命弱点”——它们“成瘾”于神经系统的电信号。SCLC细胞如同“神经元模仿者”,它们在大脑或肺部“伪装”成神经元,与真正的神经元“握手”(形成突触),从而“窃听” 甚至“劫持” 神经系统的通信网络,利用神经活动产生的电信号和化学信号作为自己的“生长肥料”。这项发现不仅彻底改变了我们对小细胞肺癌生物学行为的理解,更重要的是,它揭示了“神经-癌症突触” 这一前所未有的治疗靶点,为攻克这种致命癌症带来了全新的希望。